Rare disease

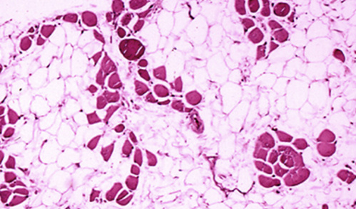
Microscopic image of cross-sectional calf muscle from a person with Duchenne muscular dystrophy, showing extensive replacement of muscle fibers by fat cells
Credit: CDC/ Dr. Edwin P. Ewing, Jr.
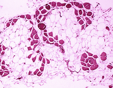
Microscopic image of cross-sectional calf muscle from a person with Duchenne muscular dystrophy, showing extensive replacement of muscle fibers by fat cells

Broad scientists employ a variety of approaches, including DNA and RNA sequencing, to identify genetic variants that give rise to rare disease. They also study patterns of trait or disease inheritance in families, in addition to analyzing so-called “isolated populations,” such as Finland. Resources used in the study of rare disease include data from the 1000 Genomes Project and the Exome Aggregation Consortium (ExAC). Many of these efforts are coordinated by the Broad’s Program in Medical and Population Genetics.

The Broad’s Clinical Research Sequencing Platform (CRSP) also performs genetic sequencing of patients with rare disorders, producing data for research or clinical use.

The Broad Center for Mendelian Genomics, which launched in January 2016, is focused on large-scale sequencing of patients with rare diseases, in collaboration with many clinical investigators.