Genome regulation, cellular circuitry and epigenomics

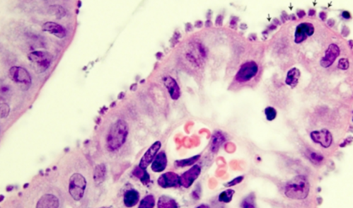
Intestinal tissue infected with Cryptosporidium, with arrows pointing to the parasites.
Credit: Sumiti Vinayak
Intestinal tissue infected with Cryptosporidium, with arrows pointing to the parasites.

In disease, a key gene regulator could be missing or defective. A critical epigenetic mark could be miswritten. A key circuit might be over- or under-active. We use a variety of tools — including genetic perturbations and genome- and proteome-wide measurements — to decipher the functions of coding and non-coding regions of the genome and study cellular circuitry, with a strong emphasis on the analysis of single cells.

Genome Regulation, Cellular Circuitry and Epigenomics

Investigators