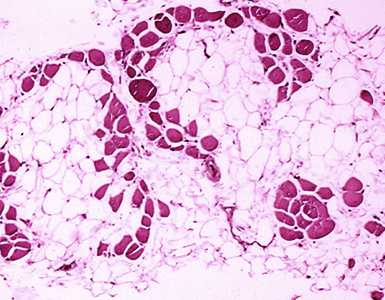
Mitochondrial disease

Institute member Vamsi Mootha aims to systematically unravel the biology of mitochondria (the powerhouse of the cell) and shed light on the diagnosis and treatment of rare mitochondrial diseases. His lab has worked extensively with platforms at the Broad Institute to produce a near-comprehensive mitochondrial protein inventory called MitoCarta, which now serves as a blueprint for molecular and systematic studies of mitochondria. Mootha and colleagues have used this inventory to discover the mitochondrial calcium uniporter, a major channel of communication between mitochondria and rest of the cell, as well as more than one dozen disease genes that underlie severe metabolic diseases.

Mitochondrial disease news from the Broad: