Breast cancer therapy can raise uterine cancer risk through a unique mechanism

Tamoxifen encourages uterine cell growth in mice without causing mutations; findings could change how some breast cancers are treated in the future

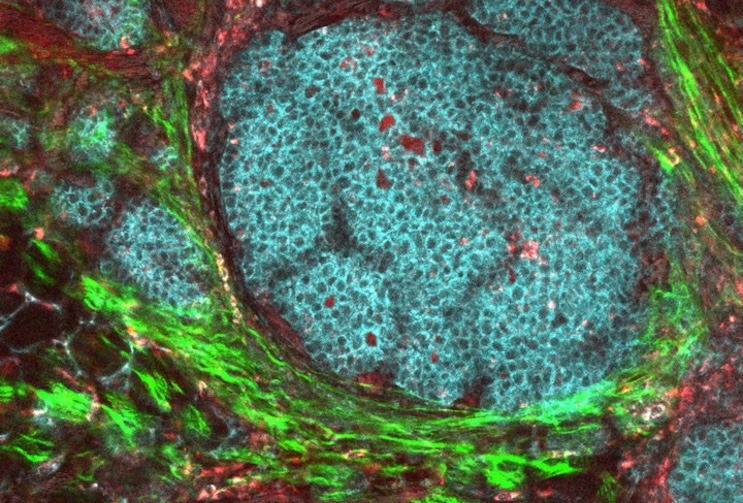
Microscopic view of a breast cancer tumor in a mouse model, with dense clusters of irregular cancer cells stained blue.
Credit: NCI Visuals Online
Breast cancer cells (blue) in a mouse model.

Studies show that people receiving tamoxifen, a highly effective and commonly used therapy to treat breast cancer, face a 2- to 7-fold increased risk of developing uterine cancer within 2-5 years of tamoxifen treatment compared to the general population. While this secondary cancer risk remains relatively low and tamoxifen continues to provide substantial benefit for most patients, it is important to understand even small risks to improve long-term outcomes.

In a new study published in Nature Genetics, researchers at Mass General Brigham, the Broad Institute of MIT and Harvard, Dana Farber Cancer Institute, and Berlin Institute of Health (BIH) at Charité shed light on the mechanism underlying this link and how blocking a specific molecular pathway may offer a way to prevent uterine cancers from occurring in patients taking tamoxifen.
 
“Our findings suggest that tamoxifen activates a cell growth signaling pathway in cells in the uterus,” said co-corresponding author Gad Getz, director of bioinformatics at the Mass General Cancer Center, a core institute member in the Broad Institute's Cancer Program, and director of the institute's Cancer Genome Computational Analysis group
 
“Importantly, they also point to a potential way to intervene to prevent patients with breast cancer from developing a second, serious cancer in the future,” said co-corresponding author, BIH professor, and Broad associated scientist Kirsten Kübler, formerly a research fellow in medicine at Mass General Brigham.
 
The researchers performed whole exome sequencing of 21 uterine cancers that were associated with previous tamoxifen use, and compared their genetic makeup with those of non-tamoxifen-associated uterine cancers in published databases. They found only 14 percent of post-tamoxifen uterine cancers harbored cancer-related PIK3CA mutations, compared to 48 percent of uterine cancers diagnosed in women who hadn’t taken tamoxifen. This finding of lower rates of PIK3CA mutations, a key component of the PI3K pathway, in tamoxifen-exposed patients was validated in three independent cohorts.
 
To see how tamoxifen might induce cancer without inducing genetic changes, the researchers exposed mice to estrogen, tamoxifen, or no treatment. Compared to the other groups, mice exposed to tamoxifen had greater activity in the P13K-AKT pathway, which regulates uterine cell growth, in part through insulin-like growth factor 1 (IGF1), a hormone that encourages cell growth. 
 
Researchers then exposed mice to both tamoxifen and alpelisib, a drug that blocks the P13K pathway and is also used in the treatment of breast cancer. The addition of alpelisib significantly decreased PI3K-AKT signaling, IGF1 receptor activation, and cell proliferation.
 
Importantly, the study suggests that blocking the PIK3 pathway could reduce the low but concerning risk of tamoxifen-associated uterine cancer. 
 
“Future clinical research can confirm whether combining non-mutant selective PI3K inhibitors with tamoxifen reduces the risk of uterine cancer and ultimately saves lives,” said co-corresponding author Rinath Jeselsohn, who is an associate professor of medicine at DFCI and an associate member of the Broad Institute.

Adapted from a press release issued by Massachusetts General Hospital, part of the Mass General Brigham healthcare system.

Paper cited

Kübler K, Nadone A, et al. Tamoxifen induces PI3K activation in uterine cancer. Nature Genetics. Online August 22, 2025. DOI: 10.1038/s41588-025-02308-w.

Funding

Support for this study was provided by the National Cancer Institute, the Susan F. Smith Center for Women’s Cancers at Dana-Farber Cancer Institute, the US Department of Defense's Congressionally Directed Medical Research Programs, and other sources.