Blood stem cells are susceptible to ferroptosis, a type of cell death

A study of a rare bone marrow disorder reveals that even healthy stem cells are vulnerable to iron-induced cell death.

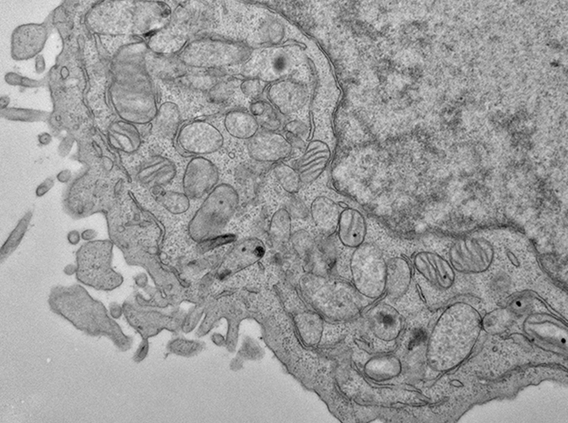
Electron microscopy image of a human hematopoietic stem cell showing hallmarks of ferroptosis, including shrunken mitochondria with fewer inner membrane folds.
Credit: Jiawei Zhao
Electron microscopy image of a human hematopoietic stem cell showing hallmarks of ferroptosis, including shrunken mitochondria with fewer inner membrane folds.

The body is constantly replenishing the blood with new red and white blood cells thanks to a small but important group of cells called hematopoietic stem cells (HSCs). Now, researchers at the Broad Institute of MIT Harvard, Boston Children’s Hospital, and Dana-Farber Cancer Institute have found that these cells are particularly vulnerable to ferroptosis, a kind of cell death triggered by iron.

Scientists have studied ferroptosis mostly in cancer cells, but this study, published recently in Cell, is one of the first to show that a normal cell type is also susceptible to this form of cell death. The findings also point to potential side effects of drugs that are being developed to boost ferroptosis to kill cancer cells. And they suggest new strategies for treating blood disorders caused by low levels of HSCs. 

The research team first discovered this ferroptosis vulnerability in a rare bone marrow disorder, but were surprised to find this feature in healthy HSCs as well. They also found that this susceptibility arises from the cells’ decreased rate of protein production. 

“This is a good example where a rare disease can teach us much more about fundamental biological processes that we wouldn't have discovered otherwise,” said Vijay Sankaran, who is a senior author on the study and an associate member at the Broad. “It really reinforces why studying rare diseases can teach us things that are of broad value.”

Sankaran is also the Lodish Family Chair in the Division of Hematology/Oncology at Boston Children’s, the Jan Ellen Paradise, MD Associate Professor of pediatrics at Harvard Medical School, and an attending physician in the Dana-Farber/Boston Children’s Cancer and Blood Disorders Center. A postdoctoral fellow in Sankaran’s lab, Jiawei Zhao, was the study’s first author.

Ferroptosis features

Sankaran’s lab is devoted to understanding how genetics affect blood production, with much of that work focused on how HSCs work and can break down in disease. The researchers first focused on a bone marrow disorder in which patients lack an enzyme called MYSM1, which modifies histones, or structural proteins that help wind up the long strand of DNA in the cell. Patients with two broken copies of the MYSM1 gene lose all of their blood-forming stem cells over time, but scientists weren’t sure why.

Using genome editing, the researchers generated human HSCs with broken copies of the MYSM1 gene. The cells showed signs of stress, and produced less heme, a key iron-containing compound. They were also slower to produce proteins that could protect themselves against ferroptosis, and showed common signs of ferroptosis, such as shrunken mitochondria and certain lipid signatures, which were profiled by Clary Clish and others in Broad’s Metabolomics Platform. Moreover, the scientists found that shutting down ferroptosis in the cells prevented their death, suggesting that ferroptosis could underlie the loss of HSCs in this disease.

Clinical strategies

To their surprise, the team discovered that among all hematopoietic stem and precursor cells, even healthy HSCs were uniquely vulnerable to ferroptosis, suggesting a swath of potential therapeutic strategies for diseases that affect HSCs.

Researchers could potentially use drugs that block ferroptosis to help HSCs proliferate and treat other more common bone marrow diseases such as aplastic anemia and Fanconi anemia. A similar strategy could help keep HSCs functioning in the lab. Some gene therapies involve removing these cells from the body, engineering them in the lab, and then putting them back in the body to treat certain diseases. Currently, scientists are only able to maintain stem cells outside the body for a few days; if blocking ferroptosis kept the cells alive for longer, scientists might have more time to engineer them in the lab.

Conversely, the study also suggests that researchers developing cancer therapeutics that aim to kill cancer cells by inducing ferroptosis should monitor their treatments carefully to avoid loss of HSCs and impaired production of new blood cells.

Next, Sankaran plans to explore how HSCs are sensitive to ferroptosis in other diseases, and the connections between protein production and ferroptosis in other cells.

“I think these findings will bring together a variety of different groups of people,” Sankaran said. “This is one of the first examples where we've really seen ferroptosis playing a role, not just in cancer cells where it's largely been characterized, but also in a normal kind of cell type in our bodies.”
 

Funding:

This work was supported by the New York Stem Cell Foundation, the Lodish family, the Edward P. Evans Foundation, and the National Institutes of Health.

Paper(s) cited:

Zhao J et al. Human hematopoietic stem cell vulnerability to ferroptosis. Cell. Online February 15, 2023. DOI:10.1016/j.cell.2023.01.020.